Spara ai piccioni in pieno centro a Treviso con la carabina: il folle gesto

TREVISO. C'è poco di cui stare tranquilli sapendo che nel centro di Treviso in zona Piazza San Leonardo c'è qualcuno che con una Carabina tipo flobert ad aria compressa si "diverte" a sparare dalle fi...

09 dicembre 2022 15:15
Spara ai piccioni in pieno centro a Treviso con la carabina: il folle gesto -
Condividi

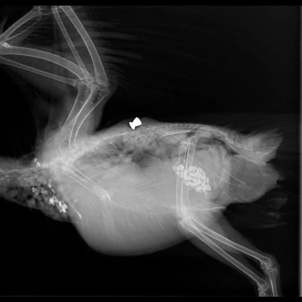
TREVISO. C'è poco di cui stare tranquilli sapendo che nel centro di Treviso in zona Piazza San Leonardo c'è qualcuno che con una Carabina tipo flobert ad aria compressa si "diverte" a sparare dalle finestre ai piccioni o forse anche ad altri animali, chi lo sa.

Il malcapitato è stato ritrovato davanti all'ingresso di una banca paralizzato agli arti, mentre cercava di mettersi in salvo trascinandosi con il becco.

E' stato recuperato da una volontaria OIPA che ha poi fatto una staffetta per riuscire a farlo visitare da un veterinario specializzato, che in seguito ad una visita approfondita e ad una lastra ha constatato che qualcuno gli aveva sparato.

Le foto parlano da sole, un pallino conficcato nella spina dorsale l'aveva purtroppo paralizzato.

Non c'è stato altro da fare che procedere con l'eutanasia, oltre ad una denuncia contro ignoti inoltrata anche alla Polizia Locale di Treviso dalle nostre Guardie Zoofile che hanno ricevuto la segnalazione quel giorno.

Armi che possono essere detenute senza licenza ma con cui si possono commettere dei reati come l'uccisione di fauna selvatica, patrimonio indisponibile dello Stato. Armi che potrebbero ferire altri uccelli, cani, gatti e anche persone di passaggio.

"E' normale tutto questo? …crediamo di no", tuonano i volontari dell'Oipa. "

"Ci auguriamo - proseguono - che chi di dovere, con le informazioni ricevute relativa a luogo, data e orari, riesca a verificare grazie alle telecamere della zona chi è la persona disturbata che si diverte a fare tutto questo in pieno centro città. Questa creatura non può aver fatto molta strada, non riusciva a volare, nè a camminare. Ringraziamo la dipendente della banca intervenuta per metterlo in sicurezza in uno scatolone, Elisa ed Alice per il recupero, la staffetta e la denuncia. Ogni vita merita di essere difesa, SEMPRE".

Le migliori notizie, ogni giorno, via e-mail